인체 해부학 자료모음2 - (척추)경추, 흉추, 요추
- 자료조사/인체해부학
- 2022. 6. 7.
반응형
인체 해부학 자료모음2 - (척추)경추, 흉추, 요추
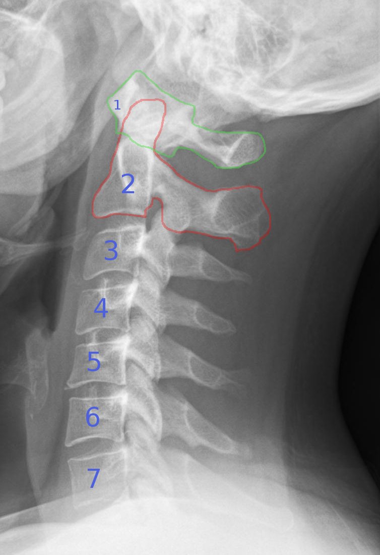
경추(cervical vertebrae)
두개골 아래에서 시작해 척주 아래로 진행되는 7개의 추골(C1-C7)
https://en.wikipedia.org/wiki/Cervical_vertebrae



경추의 엑스레이 이미지(X-ray of cervical vertebrae)



흉추(thoracic vertebra)
경추(목뼈)와 요추(허리뼈) 사이에 위치하여 척주의 중간 부위. 12개의 추골(T1-T12)로 이루어져있으며 아래쪽으로 갈수록 크기가 증가한다.
https://en.wikipedia.org/wiki/Thoracic_vertebrae




요추(lumbar vertebra)
인체에서 흉곽과 골반 사이에있는 5개의 추골(위에서 부터 L1 - L5) 척주에서 가장 큰 부분으로 몸의 무게를 지탱하고 움직임을 허용한다.
https://en.wikipedia.org/wiki/Lumbar_vertebrae






반응형
'자료조사 > 인체해부학' 카테고리의 다른 글
| 척추와 관련된 인대 - 세로인대(전방종인대, 후방종인대), 황색인대, 극상인대 (0) | 2023.08.04 |
|---|---|
| 인체 해부학 자료모음3 - 척추뼈의 회전 및 움직임(경추, 흉추, 요추) (0) | 2022.06.08 |
| 사람이 취할수있는 자세의 종류(복와위 ,앙와위) (0) | 2022.06.07 |
| 인체 해부학 자료모음1 - 골반(pelvis) (0) | 2022.06.07 |
| 인간의 척추(척추, 경추, 흉추, 요추, 천골, 미추) (0) | 2022.03.24 |