질병과 의학정보 - 회전근개파열(Rotator cuff tear)
- 자료조사/질환
- 2023. 5. 26.
질병과 의학정보 - 회전근개파열(Rotator cuff tear)
회전근개(Rotator cuff)
회전근개는 어깨의 안정성을 유지하고 광범위한 운동 범위를 가능하게하는 근육 및 힘줄로 구성되어있다. 어깨 관절을 덮고 있는 네개의 근육인 극상근, 극하근, 견갑하근, 소원근(Supraspinatus, Infraspinatus, Subscapularis, teres minor)은 어깨 관절의 움직임(회전운동) 및 결합 안정성을 유지하는데 중요한 역할을한다.
어깨 관절 전면부의 회전근개(극상근, 견갑하근, 소원근)
(rotator cuff tendons and muscles - Supraspinatus, subscapularis, teres minor)

어깨 관절 후면부의 회전근개(극상근, 극하근, 소원근)를 확인할수있다.
(rotator cuff tendons and muscles - Supraspinatus, infraspinatus, teres minor)

회전근개파열
어깨 회전근개의 근육(극상근, 극하근, 견갑하근, 소원근) 또는 힘줄 중 하나 이상이 파열되어 팔 또는 어깨에 통증을 유발하는 질환이다.
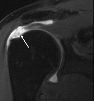
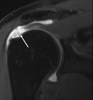
회전근개 파열(극상근 파열)

통증의 위치 그래픽

정상 어깨의 MRI 촬영 이미지(왼쪽)와 회전근개파열 어깨의 MRI 촬영 이미지(오른쪽)


원인과 증상
퇴행성 변화에 의한 자연적 파열, 교통사고로 인한 외상, 스포츠활동에 의한 외상, 반복적인 동작(어깨의 지나친사용), 선천적 이상등과 같은 원인으로 발생할수있으며 지속적인 어깨통증, 움직임 제한(어깨관절 운동 범위 제한), 근력약화, 어깨결림, 팔을움직일때 소리, 기타등의 증상을 유발한다.
치료법
증상의 심각성과 파열의 정도에 따라서 결정된다. 수술 없이 증상을 완화하고 기능을 개선하기 위해 보존적 치료(약물 치료, 물리 치료, 근력 강화 운동)를 사용할수있고 심한 파열의 경우 수술적 치료(회전근개 수복 수술, 회전근개를 수복하고 파열된 조직을 복구)를 사용한다.
회전근개파열의 수술적 치료

출처
회전근개, Rotator cuff(위키피디아)
https://en.wikipedia.org/wiki/Rotator_cuff
회전근개파열, Rotator cuff tear(위키피디아)
https://en.wikipedia.org/wiki/Rotator_cuff_tear
회전근개(네이버지식백과)
https://terms.naver.com/entry.naver?cid=42107&docId=5753519&categoryId=42107
회전근개 파열(네이버지식백과, 자생한방병원 한방의학정보)
https://terms.naver.com/entry.naver?docId=2849502&cid=58505&categoryId=58519
'자료조사 > 질환' 카테고리의 다른 글
| 질병과 의학정보 - 턱관절장애(temporomandibular joint dysfunction) (0) | 2023.07.03 |
|---|---|
| 질병과 의학정보 - 목 디스크(Cervical herniated nucleus) (0) | 2023.05.26 |
| 질병과 의학정보 - 유착성관절낭염(Adhesive capsulitis of the shoulder) (0) | 2023.05.26 |
| 질병과 의학정보 - 상과염(epicondylitis) (0) | 2023.05.25 |
| 질병과 의학정보 - 척추관협착증(spinal stenosis) (0) | 2023.05.25 |