질병과 의학정보 - 척추전방전위증(Spondylolisthesis)
- 자료조사/질환
- 2023. 7. 3.
질병과 의학정보 - 척추전방전위증(Spondylolisthesis)
척추전방전위증(Spondylolisthesis)은 척추의 한 척추뼈가 다음 척추뼈에 비해 앞으로 밀려나가서(전위) 정상적인 정렬을 이루지못한 상태로 척추미끄럼증, 척추탈위증이라고도한다. 척추전방전위증은 어느 부위(요추, 경추, 흉추)에서나 발생할수있지만 특히 요추에서 많이 발생하며 허리통증, 다리저림등의 증상을 일으킨다.

원인
디스크의 퇴행성 변화(과용 또는 노화)와 척추 관절의 변형에 의한 척추 안정성 감소, 척추의 척추뼈사이에있는 조합관골 결손 및 스트레스 골절(선천적 결함, 반복적인 스트레스), 외상적 손상, 척추의 골절, 기타
증상
허리통증(허리 또는 엉덩이), 다리저림, 비정상적인 보행 및 자세이상, 허리를 뒤로 젖힐때 통증, 아침에 일어났을때 심한 통증(허리를 앞으로 숙이면 통증완화), 오래 서있거나 오래걸으면 통증(엉덩이통증, 다리저림), 한쪽 또는 양쪽 다리 약화
치료법
증상의 심각성과 원인에 따라서 비수술적 치료와 수술적 치료를 진행할수있다.
비수술적 치료 -항염증제, 진통제등의 약물 처방, 물리치료, 치료용 보조기구등
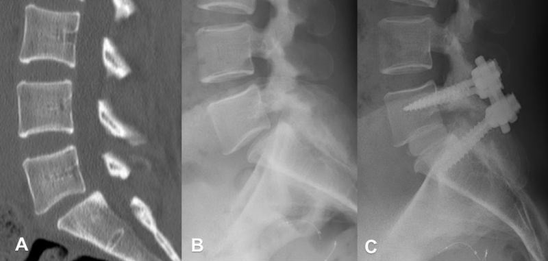
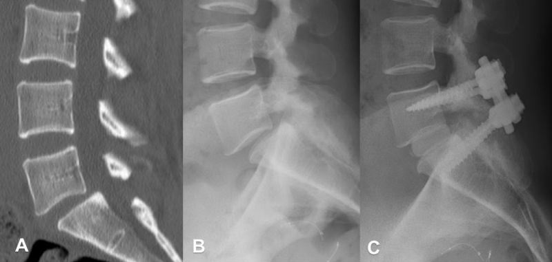
수술적 치료 - 보다 심각한 증상이나 척추전방전위증의 진행이 있는 경우 척추의 안정성을 회복하고 이동을 제한하기 위해 수술적인 치료(척추의 변형된 구조를 정상적으로 재조정하고 고정하는것을 포함하여)를 진행할수있다.
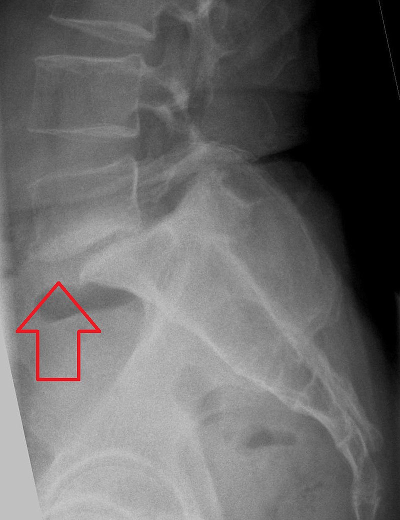
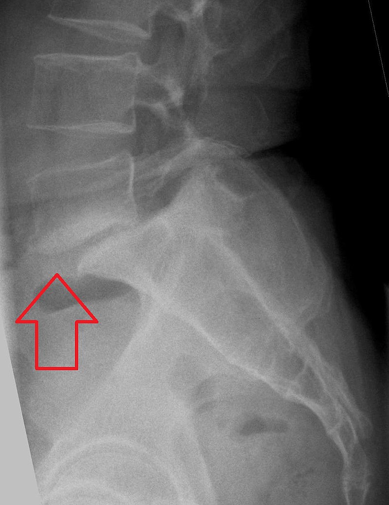
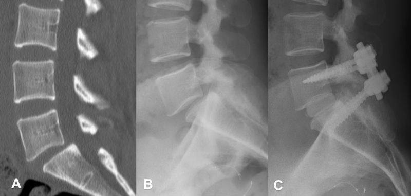
척추전방전위증의 엑스레이(x-ray) 촬영 이미지






참고
Spondylolisthesis(위키피디아)
https://en.wikipedia.org/wiki/Spondylolisthesis
척추전방전위증(대한정형외과학회)
https://www.koa.or.kr/info/index_4_6.php
척추전방전위증(네이버지식백과, 자생한방병원 한방의학정보)
https://terms.naver.com/entry.naver?docId=2853426&cid=58505&categoryId=58519
척추전방전위증이란(ebs지식클립)
https://tv.naver.com/v/15398824
척추전방전위증(서울대학교병원 질병백과)
https://tv.naver.com/v/21939544
요추 전방전위증(서울아산병원 질환백과)
https://www.amc.seoul.kr/asan/healthinfo/disease/diseaseDetail.do?contentId=31572
'자료조사 > 질환' 카테고리의 다른 글
| 인간이 느끼는 통증의 종류 (0) | 2024.10.09 |
|---|---|
| 질병과 의학정보 - 턱관절장애(temporomandibular joint dysfunction) (0) | 2023.07.03 |
| 질병과 의학정보 - 목 디스크(Cervical herniated nucleus) (0) | 2023.05.26 |
| 질병과 의학정보 - 회전근개파열(Rotator cuff tear) (0) | 2023.05.26 |
| 질병과 의학정보 - 유착성관절낭염(Adhesive capsulitis of the shoulder) (0) | 2023.05.26 |