PACS, PACS viewer
- 자료조사/human
- 2021. 11. 22.
반응형
PACS, PACS viewer
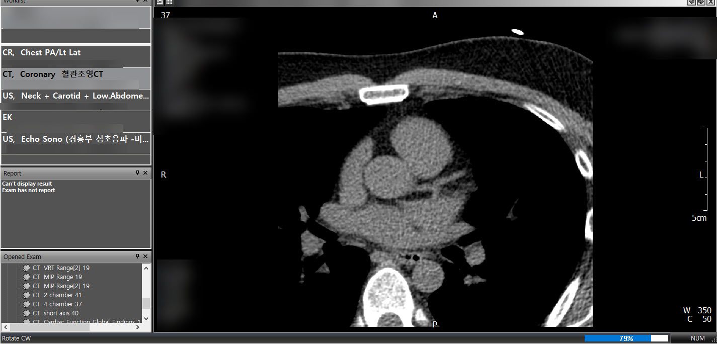
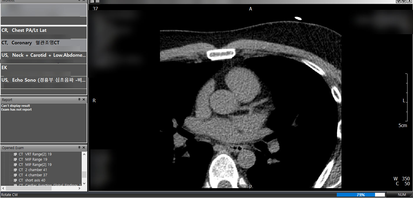
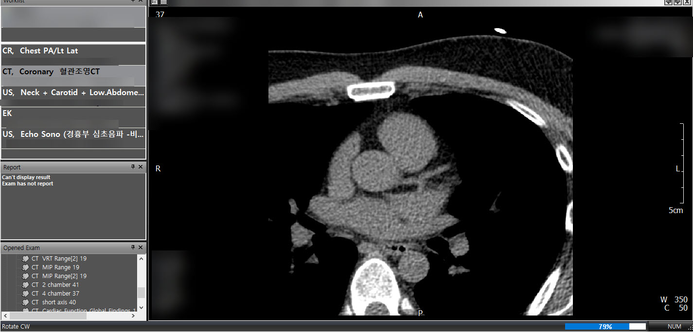
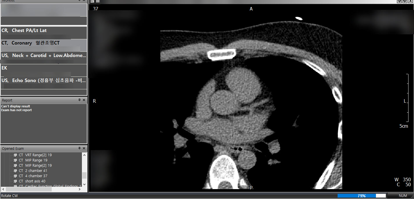
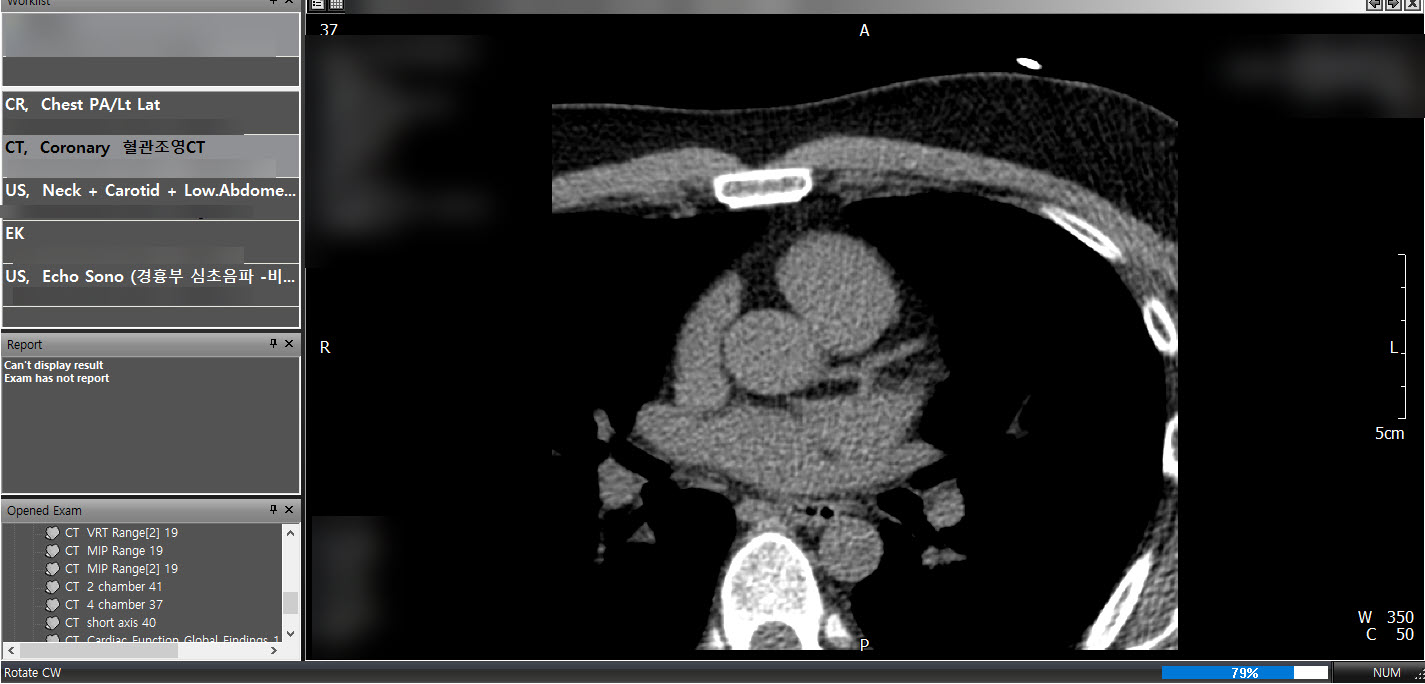
PACS는 CT, MRI와 같은 의료영상장비를 사용하여 촬영된 이미지(DICOM형식)를 저장, 가공, 전송할수있는 시스템이다. 의사는 PACS viewer를 통하여 영상을 판독하고 환자의 상태를 진단할수있다. 다양한 종류의 PACS 뷰어 프로그램이있으며 PacsPlusCV는 PACS 뷰어의 일종이다.
https://pacsplus-viewer.software.informer.com/5.1/
PACSPLUS Viewer. Get the software safely and easily.
pacsplus-viewer.software.informer.com
프로그램을 실행하고 의료용 디지털 영상 포맷인 DICOM파일(.dcm)을 불러오기하면 촬영영상 이미지를 확인할수있다.






반응형
'자료조사 > human' 카테고리의 다른 글
| 도시와 교외의 도로 사진 및 레퍼런스 모음(한국향토문화전자대전) (0) | 2022.05.05 |
|---|---|
| 도로 정션(junction) - 교차로, 나들목, 인터체인지, 합류점, 기타 (0) | 2021.11.28 |
| 위도, 식도 역류성 질환을 완화하기위한 생활 습관 (0) | 2021.11.07 |
| 달 정찰 궤도선 LRO(Lunar Reconnaissance Orbiter) (0) | 2021.07.27 |
| 도로의 구성요소(차로, 차선, 보도, 횡단보도, 교차로, 안전지대, 안전표지, 중앙선, 중앙분리대, 기타) (0) | 2021.03.22 |